Impianti Pterigoidei
Un passo avanti con il Prof. Roberto Conte per l’implantologia senza osso
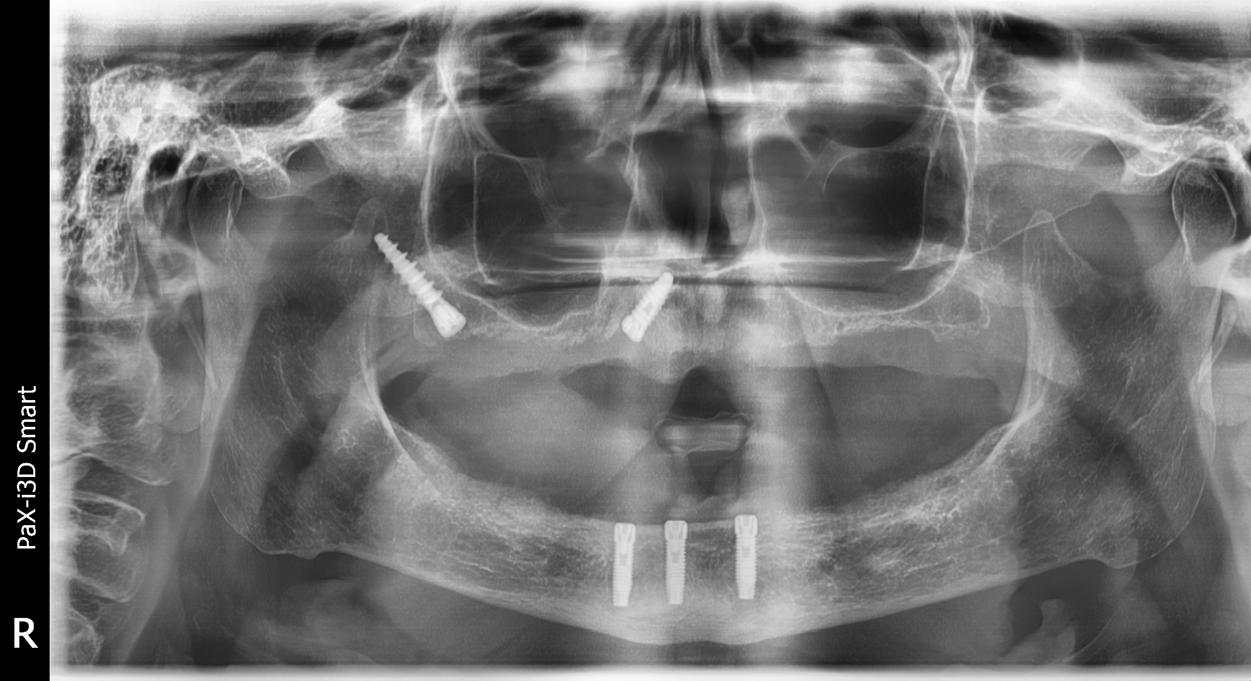
Gli Impianti Dentali Pterigoidei
Gli impianti dentali pterigoidei sono una soluzione all’avanguardia per i pazienti che cercano una stabilità eccezionale nella sostituzione dei denti persi.
Questi impianti sono posizionati nell’area anatomica del pterigoide, nell’osso mascellare superiore, una posizione critica per garantire la loro stabilità e successo a lungo termine.
La posizione strategica degli impianti pterigoidei è ideale per pazienti che potrebbero avere una quantità insufficiente di osso mascellare in altre zone.
Questi impianti sono posizionati nell’area anatomica del pterigoide, nell’osso mascellare superiore, una posizione critica per garantire la loro stabilità e successo a lungo termine.
La posizione strategica degli impianti pterigoidei è ideale per pazienti che potrebbero avere una quantità insufficiente di osso mascellare in altre zone.

Quali sono i vantaggi
Degli impianti pterigoidei
Ripristino completo con arcate dentali "lunghe"
Estetica e funzionalità ottimali
Velocità di esecuzione e guarigione
Minore invasività
Minimizzazione dell'instabilità
Minore invasività
Gli impianti pterigoidei evitano l’uso di procedure chirurgiche più invasive come i trapianti ossei, riducendo il disagio post-operatorio e i tempi di recupero.
Sicurezza e successo:
Affidarsi al Prof. Roberto Conte per questa procedura complessa garantisce una maggiore sicurezza e successo a lungo termine.
Estetica e funzionalita'
Gli impianti pterigoidei ripristinano la funzione masticatoria e l’estetica del sorriso, migliorando la qualità della vita del paziente.
Evita Innesti Ossei
L’uso degli impianti pterigoidei elimina la necessità di ricorrere a procedure di innesto osseo, semplificando il processo di riabilitazione
Garanzia di Professionalità
è il pilastro su cui si fonda la nostra pratica odontoiatrica. La tua salute orale è la nostra priorità, e ci sforziamo di offrire cure dentali impeccabili che trasformano sorrisi e migliorano la qualità della vita.
L’Importanza dell’Esperienza
del Prof. Roberto Conte
Il Prof. Roberto Conte è un esperto di fama mondiale nell’implantologia dentale.
La sua vasta esperienza e competenza in questo campo lo hanno portato a sviluppare una tecnica di posizionamento degli impianti pterigoidei che è un vero e proprio balzo in avanti nell’ambito dell’odontoiatria.
La sua vasta esperienza e competenza in questo campo lo hanno portato a sviluppare una tecnica di posizionamento degli impianti pterigoidei che è un vero e proprio balzo in avanti nell’ambito dell’odontoiatria.
La posizione degli impianti pterigoidei richiede una precisione estrema e una conoscenza approfondita dell’anatomia del paziente.
Il Prof. Conte, con anni di pratica e ricerca, ha perfezionato la sua tecnica per garantire il successo di questa procedura complessa.
La sua mano sicura è un elemento chiave nel posizionamento degli impianti pterigoidei e nell’evitare complicazioni post-operatorie.

